Η «Ασβεστοποιός Τενοντίτιδα» του ώμου είναι η συγκέντρωση και εναπόθεση ασβεστίου μέσα στους τένοντες του ώμου. Πρόκειται για μια τενοντίτιδα που προκαλεί περισσότερα ενοχλήματα από την απλή τενοντίτιδα. Mερικές φορές ο πόνος είναι εξαιρετικά έντονος. Άλλοτε ο ασθενής έχει ιστορικό ενοχλήσεων στον ώμο ενώ άλλοτε μπορεί να εμφανιστεί ξαφνικά.

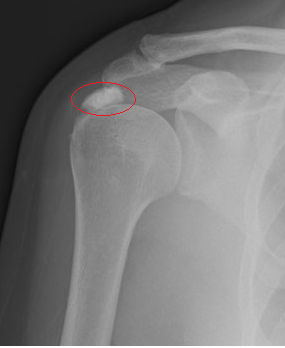
Εικ. απεικόνιση και ακτινογραφία ασβεστοποιού τενοντίτιδας
H αφαίρεση επασβέστωσης του ώμου με τη μέθοδο Barbotage είναι αποτελεσματική, απλή στη εφαρμογή της, δεν απαιτεί γενική αναισθησία και νοσηλεία. Αποτελεί την καλύτερη θεραπευτική επιλογή για την εμμένουσα ασβεστοποιό τενοντίτιδα του ώμου.

Εικ. απεικόνιση ένεσης στον ώμο και υπερηγογράφημα με το σημείο επασβέστωσης
Χρειάζεται αναισθησία για τη θεραπεία Barbotage;
Δεν χρειάζεται γενική αναισθησία. Χρησιμοποιείται τοπική αναισθησία μόνο στο σημείο της βλάβης.
Χρειάζεται εισαγωγή στο Νοσοκομείο;
Όχι η θεραπεία Barbotage μπορεί να γίνει στο περιβάλλον του ιατρείου.
Πόση ώρα διαρκεί;
Συνήθως χρειάζονται λιγότερο από 20 λεπτά για την ολοκλήρωση της θεραπείας. Ακολούθως ο ασθενής παραμένει για λίγα λεπτά για παρακολούθηση και κατόπιν μπορεί να επιστρέψει σπίτι του. Για εκείνη την ημέρα και για μία - δύο μέρες ακόμα καλό είναι να ξεκουράσει τον ώμο του και να αποφύγει την οδήγηση.
Είναι αποτελεσματική;
Είναι αποδεδειγμένα η καλύτερη μη χειρουργική θεραπεία για την ασβεστοποιό τενοντίτιδα (σε σύγκριση με άλλες ενέσεις ή κρουστικό υπέρηχο). Θα σας προτείνουμε Barbotage όταν η περίπτωση σας είναι κατάλληλη για εσάς. Η αποτελεσματικότητα της είναι πάνω από 80%. Η μεγάλη πλειοψηφία των ασθενών νιώθει σημαντική μείωση του πόνου.
Υπάρχουν επιπλοκές;
Οι κίνδυνοι και οι επιπλοκές της ένεσης Barbotage είναι σπάνιες. Αυτό που πρέπει να ξέρει ο ασθενής είναι πως ίσως για μία ή δύο ημέρες τα ενοχλήματα του ίσως γίνουν εντονότερα μέχρι να νιώσει οριστική βελτίωση. Γι αυτό θα χορηγηθεί κατάλληλη παυσίπονη αγωγή.