Συνοπτική περιγραφή
- Συλλογή ασβεστίου μέσα στους τένοντες του ώμου. Συχνότερα στον υπερακάνθιο τένοντα κοντά στην κατάφυσή του στο βραχιόνιο οστό
- Σύσταση κρυστάλλων υδροξυαπατίτη ( φυσιολογικά συναντάται στα οστά)
- Μηχανισμός: «κυτταρική μεταπλασία», οι ινοβλάστες μετατρέπονται σε χονδροβλάστες και οστεοβλάστες και εναποθέτουν ασβέστιο, πιθανώς λόγω αυξημένων φορτίων
- Άνθρωποι ηλικίας 30-60 ετών, λίγο συχνότερα σε γυναίκες
- Διαβήτης, θυρεοειδοπάθειες και ρευματολογικά νοσήματα αυξάνουν τον κίνδυνο εμφάνισης
- Πιθανή γενετική προδιάθεση
- Προκαλεί πόνο στην κίνηση αλλά συχνά και στην ηρεμία που μπορεί είναι έντονος. Αίσθημα, κριγμού, εμπλοκής και περιορισμό των κινήσεων του ώμου

Φυσική πορεία της νόσου:
- Προασβεστοποιό στάδιο
- Κυτταρική μεταπλασία. Οι φυσιολογικοί ινοβλάστες μετατρέπονται σε χονδρο- και οστεο- βλάστες. Σε αυτή τη φάση δεν υπάρχουν ακόμα συμπτώματα
- Ασβεστοποιό στάδιο
- Φάση σχηματισμού: Συγκέντρωση ασβεστίου. Μπορεί να προσκαλεί συμπτώματα
- Φάση διατήρησης: Σταθεροποίηση της ασβέστωσης. Προκαλεί ενοχλήσεις σε αρκετές περιπτώσεις
- Φάση απορρόφησης: Φάση απορρόφησης μέσω φαγοκύττωσης. Έντονα επώδυνη φάση
- Μετασβεστοποιό στάδιο
- Προσπάθεια αποκατάστασης/ανακατασκευής της φυσιολογικής σύστασης του τένοντα

Σε αρκετές περιπτώσεις η φάση διατήρησης της ασβέστωσης διαρκεί για έτη χωρίς να περνά στη φάση απορρόφησης
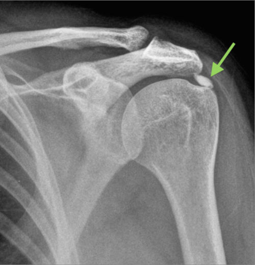
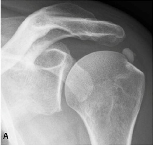
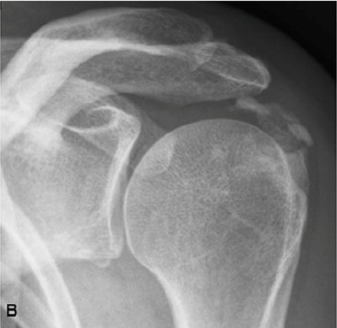
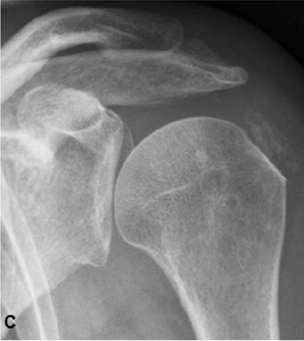
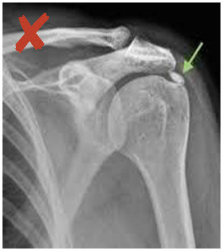
Ακτινολογική ταξινόμηση της ασβεστοποίησης στον ώμο (Gartner and Hayer)
Ανάλογα με την απεικόνιση στην ακτινογραφία ταξινομείτε ως εξής:
![]() |
![]() |
![]() |
| Τύπος Ι : Ομαλά όρια, αυξημένη πυκνότητα ασβέστωσης. Φάση σχηματισμού | Τύπος ΙΙ: Σχήμα ομαλό, πυκνό ή οξύ, περιοχές ακτινοδιαπερατές. Φάση σταθεροποποίησης | Τύπος ΙΙΙ: Διάφανη, νεφελώδης εμφάνιση, χωρίς σαφή όρια. Φάση απορρόφησης |
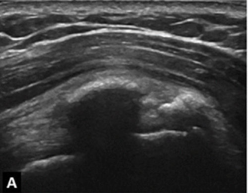
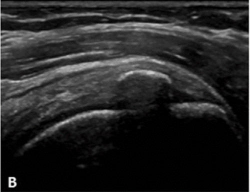
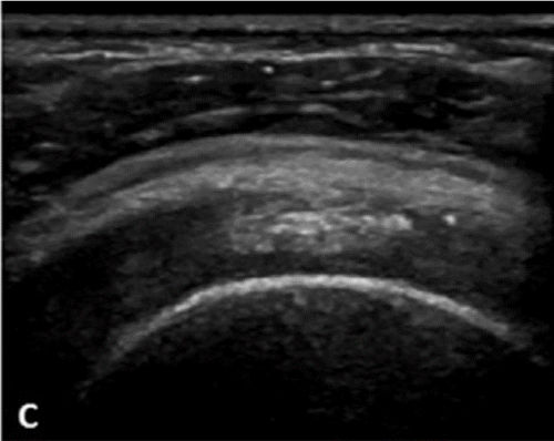
Υπερηχογραφική απεικόνιση της ασβεστοποίησης του ώμου (Farin)
Στην κλινική πράξη είναι αυτή που δίνει τις πιο αξιόπιστες πληροφορίες για τη σύσταση της ασβέστωσης.
![]() |
![]() |
![]() |
| Τύπου Α: Υπερηχογενής με έντονη ακουστική σκιά | Τύπου Β: Υπερηχογενής με ήπια ακουστική σκιά | Τύπου C: Υπερηχογενής χωρίς ακουστική σκιά |
Με βάση αυτή την ταξινόμηση μπορούμε να εκτιμήσουμε την αποτελεσματικότητα μιας θεραπείας Barbotage
Με λίγα λόγια, όταν η ασβέστωση είναι μαλακής ή μέτριας σκληρότητας, το αποτέλεσμα της θεραπείας Barbotage προβλέπεται άριστο/πολύ καλό ενώ αν είναι σκληρής σύστασης τότε το αποτέλεσμα θα είναι μέτριο/φτωχό
(καλύτερη ένδειξη για barbotage: ασβέστωση Farin B και C , Gartner/Hayer II,III)
![]() |
![]() |
* Η σύσταση της ασβέστωσης είναι σημαντικό κριτήριο πρόβλεψης αποτελεσματικότητας της θεραπείας barbotage αλλά δεν είναι το μοναδικό. Ο ιατρός πρέπει να εκτιμήσει και άλλους παράγοντες πριν σας προτείνει την κατάλληλη θεραπεία (κυρίως εντόπιση και μέγεθος της ασβέστωσης και την πιθανή συνοδό παθολογία π.χ μερική ρήξη ινών του τένοντα, υπακρωμιακός χώρος κ.α)
Διαβάστε πληροφορίες για τη θεραπεία barbotage εδώ.








