Οριστική αντιμετώπιση χωρίς χειρουργική τομή
Τι είναι ο εκτινασσόμενος δάκτυλος (Trigger Finger)
Ο εκτινασσόμενος δάκτυλος (trigger finger) είναι μια συχνή πάθηση σε ανθρώπους που κάνουν επαναλαμβανόμενη κάμψη (λύγισμα) των δακτύλων. Οι τένοντες που κάνουν αυτή την κίνηση σε κάθε δάκτυλο πορεύονται κάτω από συνδέσμους που τους κρατούν στη θέση τους. Σε έναν από αυτούς τους συνδέσμους (που λέγεται Α1 και βρίσκεται στην παλάμη στη βάση κάθε δακτύλου) λόγω προστριβής προκαλείται φλεγμονή, πάχυνση και δημιουργία τοπικής διόγκωσης στον τένοντα. Έτσι εμφανίζεται πόνος τοπικά σε εκείνο το σημείο αλλά και στην κίνηση του δακτύλου. Χαρακτηριστικό είναι επίσης το αίσθημα «μαγκώματος» του δακτύλου καθώς προσπαθούμε να το κινήσουμε επειδή ο διογκωμένος τένοντας μπλοκάρει στον Α1 σύνδεσμο. Σε σοβαρές περιπτώσεις ο ασθενής για να τεντώσει το δάκτυλο του πρέπει να χρησιμοποιήσει το άλλο του χέρι.
Ποια είναι η αντιμετώπιση του εκτινασσόμενου δακτύλου;
Συνιστάται μείωση της χρήσης των δακτύλων, λήψη αντιφλεγμονωδών δισκίων, χρήση ναρθηκών των δακτύλων κα
ι τοπικές ενέσεις κορτιζόνης.
Δυστυχώς πολλές φορές η συντηρητική σντιμετώπιση αποτυγχάνει και τότε η οριστική λύση του προβλήματος ήταν η ανοικτή χειρουργική επέμβαση. Αφού γίνει τομή του δέρματος στην άκρη της παλάμης, κόβουμε και ανοίγουμε τον σύνδεσμο έτσι ώστε οι τένοντες των δακτύλων που μπλόκαραν σε εκείνο το σημείο να απελευθερωθούν και να κινούνται ανεμπόδιστα. Αυτό όμως απαιτεί τομή στο δέρμα, ράμματα που παραμένουν για τρεις εβδομάδες , φροντίδα του τραύματος για τρεις εβδομάδες για να μην επιμολυνθεί και καθυστερημένη επάνοδο σε πλήρη δραστηριότητα.
Υπάρχει άλλη δυνατότητα για οριστική θεραπεία;
Τώρα υπάρχει η δυνατότητα οριστικής θεραπείας μέσω της Yπερηχοχειρουργικής (Sonosurgery).
Έχει πολύ ψηλό ποσοστό επιτυχίας, όπως και το κλασσικό χειρουργείο, αλλά με τη σημαντική διαφορά πως δεν γίνεται τομή του δέρματος. Πρόκειται για διαδερμική επέμβαση υπό υπερηχογραφική καθοδήγηση.
Η διαδικασία έχει ως εξής:
Κάνουμε τοπική αναισθησία , εντοπίζουμε τον σύνδεσμο που πρέπει να απελευθερώσουμε με τον υπέρηχο, εισάγουμε μια ειδική βελόνα και την κατευθύνουμε στον σύνδεσμο, η βελόνα αυτή κόβει τον σύνδεσμο. Η επέμβαση έχει ολοκληρωθεί μέσα σε περίπου 15-20 λεπτά. Τοποθετείται ένας επίδεσμος για 24 ώρες. Ο ασθενής μπορεί να κινήσει το δάκτυλό του άμεσα. Μπορεί να εργασθεί στο γραφείο σε ένα με δύο 24ώρα και να κάνει πιο απαιτητική εργασία σε λίγες ημέρες.
Πλεονεκτήματα Sonosurgery για τον εκτινασσόμενο δάκτυλο:
- Δεν υπάρχει τομή δέρματος (μόνο το τρύπημα της βελόνας)
- Δεν χρειάζονται ράμματα
- Δεν χρειάζεται πολυήμερη φροντίδα του δέρματος
- Άμεση απελευθέρωση του δακτύλου
- Γρήγορη επάνοδος σε πλήρη δραστηριότητα
- Μπορεί να γίνει και στο περιβάλλον του ιατρείου
*Σημείωση: Η τεχνική είναι κατάλληλη για όλα τα δάκτυλα εκτός από τον αντίχειρα όπου λόγω διαφορετικής ανατομίας απαιτείται ανοικτή επέμβαση.
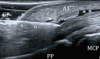
Εικ. διαδικασία επέμβασης και υπερηχογραφική εικόνα
Οδηγίες πριν την επέμβαση:
- Μπορείτε να έχετε πάρει το πρωινό ή το γεύμα σας.
- Αν λαμβάνετε φαρμακευτική αγωγή συνεχίστε τη κανονικά με εξαίρεση τα παρακάτω:
- Μην λάβετε αντιφλεγμονώδη παυσίπονα για τρεις μέρες πριν την επέμβαση.
- Σταματήστε αντιπηκτική αγωγή, μόνο όμως αν επιτρέπεται από τον ιατρό σας.
- Κανονίστε ώστε να μην οδηγήσετε φεύγοντας μετά την επέμβαση.
Οδηγίες μετά την επέμβαση:
- Θα λάβετε οδηγίες για απλά παυσίπονα σε περίπτωση που χρειαστούν.
- Θα κρατήσετε τον επίδεσμο για 24 ώρες.
- Μπορείτε να κινείτε ηπίως το δάκτυλο σας άμεσα.
- Μπορείτε να βρέχετε και να πλένετε το χέρι σας μετά από 48-72 ώρες.
- Μπορείτε να επιστρέψετε σε δουλειά γραφείου σε 24-48 ώρες.
- Μπορείτε να οδηγήσετε σε 24-48 ώρες.
- Μπορείτε να κάνετε απαιτητική χειρωνακτική εργασία σε 1-2 εβδομάδες.
